キラッと光る歯になろう。ホワイトニングの基礎知識。
なんだか歯が黄色いし、くすんで見える。鏡を見るたびに気になるなら、ホワイトニングも選択肢のひとつ。失った笑顔を再び手に入れる方法とは?
取材・文/石飛カノ イラストレーション/浦野周平 監修・取材協力・資料提供/平井友成(日本審美歯科協会会長) 編集/CAPSTAR
初出『Tarzan』No.913・2025年10月23日発売

教えてくれた人
平井友成(ひらい・ともなり)/日本審美歯科協会会長。九州大学歯学部臨床教授、水上歯科クリニック副院長を経て、平井歯科クリニックを開設。院長として歯周病治療などに携わる傍ら、インプラント専門医としても研鑽を積み、患者に最適な処置を提案している。
歯の色を決める、エナメル質と象牙質。

眩しいくらいの真っ白な歯とどこか黄みがかってくすんで見える歯。この違いは一体何か?
まず、歯の表面は硬いエナメル質でできている。エナメル質の材質はミネラルで人体の中で最も硬い組織。そのすぐ下にあるのが象牙質。こちらの材質はリン酸カルシウムやコラーゲンでエナメル質より柔らかく歯髄という神経を守る役割を果たしている。
エナメル質の色は透明な白色で、象牙質の色はやや黄色みを帯びている。エナメル質+象牙質が歯の色の正体。
歯の色がくすむ3大要因。
1.食べ物

昔に比べて歯の色がくすんできたという場合、考えられる要因は3つ。その筆頭が食事だ。
「コーヒーや赤ワイン、チョコレートといったポリフェノール系の飲食物はエナメル質にその色がつきやすいといわれています。一度に色がつくというより長年の食生活の蓄積が影響します」(日本審美歯科協会会長・平井友成さん)
カレーなどのスパイス料理、しょうゆ、ケチャップなどの調味料、タバコのタールなども歯の色素沈着の原因に。
2.民族性の違い

エナメル質が食事で着色されなかったとしても、そもそも欧米人とアジア人では後者の歯の方がくすんで見える。その理由はアジア人は象牙質がより厚いという身体的特性があるから。エナメル質を透過して象牙質の黄色みが強調されてしまうのだ。
「さらに欧米ではホワイトニングを日常的に行うという歯の審美意識の違いも関係していると思います。アメリカでは国民の約4割がホワイトニング経験者という話も聞きます」
3.加齢

加齢とともにエナメル質は薄くなり、逆に象牙質の厚みが増す。象牙質が厚くなると歯髄は圧迫されて細くなる。これが歯の老化。
「象牙質は歯髄からの栄養供給があるので増殖しますが、エナメル質はそれがないので減る一方です。さらにカルシウムやリン酸が溶け出て表面がギザギザになることによって光の乱反射が起こりくすんで見えると考えられます。また、くすみを取ろうと研磨剤入りの歯磨きを使いすぎると歯の表面のすり減りを助長するので要注意です」

- エナメル質からカルシウムやリン酸が抜け、経年劣化する。
- 歯の表面に傷や歪みが生まれ光の乱反射でくすんで見える。
内服薬と歯の色の関係。
テトラサイクリン系と呼ばれる抗生物質を服用すると歯が変色する。これはテトラサイクリンがカルシウムと結合し、象牙質に沈着してしまうから。乳歯と永久歯の生え替わりに服用するとグレー、オレンジ、茶色、黄色などの歯の着色が引き起こされる。
本人ではなくても妊婦が服用することで胎児の歯に影響が表れることもある。最近では認知が進み数は少なくなっているが、薬剤で歯の色が変わる可能性もあるのだ。
オフィスホワイトニングとホームホワイトニング、どっちが良いの?
特に黄みがかった象牙質を持つ日本人は加齢や食生活で歯がくすんでいく。それがストレスならば、薬剤を使用し、歯の内部の色素を分解して歯を白くする、ホワイトニングを検討してみるのも手。
ホワイトニングには病院で施術してもらうオフィスホワイトニングと自宅で行うホームホワイトニングがある。前者で使うホワイトニング剤は過酸化水素で、後者はそれより刺激が弱い過酸化尿素。
「オフィスでは濃度の濃い過酸化水素を使うので医師の管理が必要。効果は即時なので時間がない人向きです。ただし濃度が濃い分、やや痛みを伴います。ホームは痛みが出にくいですがマウスピースに薬剤を塗って1日最低2時間、数週間行う手間がかかります」
どちらを選ぶか医師と相談を。
オフィスとホーム、ホワイトニングそれぞれの特徴。
| オフィス | ホーム | |
| ホワイトニング剤 | 過酸化水素 | 過酸化尿素 |
| 効果が表れる期間 | 即時 | 2週間〜1か月 |
| 平均費用 | 約15,000円~(1回) | 30,000円~ |
| 効果の持続 | 短い | 長い |
| デメリット | コスト、痛み、通院 | 作業の手間 |
| 向いている人 | 結婚式前などすぐに歯を白くしたい人 | 人知れず歯を白くしたい人 |
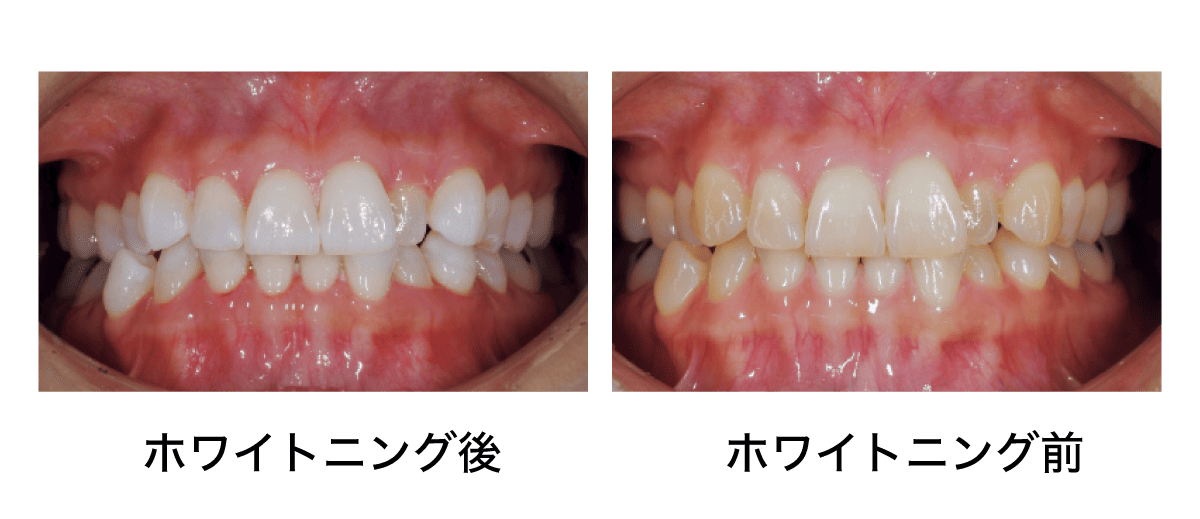
オフィスホワイトニングの効果

オフィスホワイトニングによるビフォーアフター。全体的に黄ばんで見える歯が見事に真っ白な状態に。これは一考の価値あり。

左は過酸化尿素ホワイトニング器材。右は歯の色見本。あまりに白い歯は不自然なので今の色から2段明度を上げるのが一般的。
市販のホワイトニング剤で白くなる?
自宅で行うホームホワイトニングも歯科医院を一度訪れ、マウスピースと薬剤を処方してもらう必要がある。それすらも面倒、という人が手を出しがちなのが市販のホワイトニング剤。だが、過大な期待は禁物だ。
「多少の汚れは落ちる可能性はありますが、市販のホワイトニング剤は白くするというより汚れをつけないというレベル。病院でホワイトニングを行った後、維持するための手段としては有効かもしれません」





